PSYCH 221 FINAL PROJECT

Introduction

Dental Imaging Today:

Dental imaging today is quite common, in fact most dentist will take an image at least once a year. The patients typical either sit in dental chair as can been seen in the image below to the left. The dentist then places a piece of film as seen in the image below in the middle in the patient’s mouth and takes X-ray images. After some processing the dentist looks at images as seen in the image to the right. The dentists will typically blow-up these images so they can examine cavities, fillings, gum line, roots and etc. very closely.

Dental Chair
Dental Film
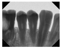
Dental Image

Fairchild Project: Intra-Oral Dental Sensor CCD 297

Fairchild has a wide product line in the medical space. In particular they sell a dental sensor that can be seen in the image below. There are several interesting elements to this product to point out. First, this chips was specifically designed for digital radiography. Second, the corners of chips have been chamfered. This results in a more comfortable experience for the patient when inserted in the mouth for X-Rays. Final, there is a center readout register that is used to detect X-Ray initiation so the system may be signaled of this event.

Dental Sensor

Below, we define four terms that will be used throughout the report.

Original Image – An image with no imaging artifacts. In particular this is the image that has all the pixels captures and from which the test image is derived.

Captured Image – Actual image captured with the imaging device. This is almost the same as the captured image, but the two central rows of this image will be missing due to the limitations of the imaging device.

Test Image – Original image after the two central rows have been removed. Essentially, these images are created to emulate the captured images. However, there is a need for manually creating the test images, since for the test images we know what they are derived from, i.e original image, but with the captured image this is not the case.

Corrected Image – Test image, after it has been corrected with our interpolation algorithms. We compare the corrected image to the original image to assess the performance of our correction.