Results
After analyzing the images, the following table was determined:
|
SNR |
CNR |
Resolution Loss |
|
|
Noisy Image |
4.25 |
0.54 |
0% |
|
Correlation Filter |
7.71 |
0.86 |
11% |
|
Wiener Filter |
8.39 |
0.9 |
13% |
|
Median Filter |
12.46 |
1.13 |
33% |
|
Gaussian Filter |
18.62 |
1.41 |
42% |
|
Contrast Filter |
1.93 |
0.4 |
-9% (gain) |
|
Average Filter |
17.7 |
1.38 |
34% |
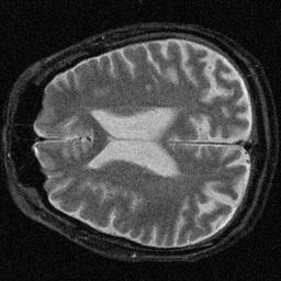
The resolution loss is measured relative to the FWHM of the noisy image, consequently its resolution loss is 0%. Interesting is that the CNR mirrors changes in the SNR, as expected. Also interesting is that the contrast filter reduced the SNR dramatically while actually improving the image resolution. The following images were obtained after filtering:
Noisy Image

Correlation Filter

Wiener Filter

Median Filter

Average Filter

Contrast Filter

Gaussian Filter
